Our Blog
Comparing Dental Implants with Other Types of Tooth Replacement Options
Are you in Los Angeles thinking about various teeth replacement alternatives for your missing teeth? Research shows that 70% of adults between the age of 35 and 45 have one or more missing teeth. In fact, one in every 4 people above 74 years old doesn’t have any teeth left. Although science shows that teeth…
What Can I Eat After my Dental Implant Surgery?
Dental implants are long-term solutions to missing teeth. They provide a foundation for tooth replacement. The natural-looking, fixed, and permanent replacements are an excellent solution for patients who have lost all their natural teeth. You may be wondering how to heal faster after dental implants. What can I eat after dental implant surgery? You can…
Where to go for dental implants in Van Nuys
Planning for a dental implant is the first step to restoring your smiling confidence! You also instantly transform your facial appearance when an expert team carries out the procedure using the new technology. We are committed to offering you the best dental implant experience at Southland Dental Care. Whether your teeth are stained, loose, missing,…
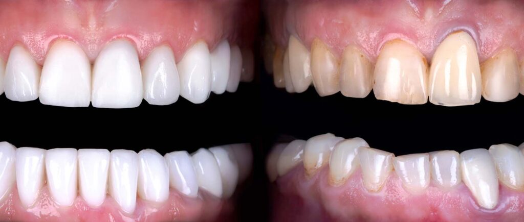
Do Veneers Ruin Your Teeth?
Most Hollywood celebrities have perfect smiles due to the application of porcelain veneers on their teeth. If you have ever seen some of the earlier movie and TV appearances of some stars before they became household names, you would immediately spot that something is different with their teeth. In those earlier appearances, stars sported their…
Best Dental implant specialist in Encino, Ca
If you are looking for a dental implant specialist in Encino, then you need to visit Southland Dental Care located in Sherman Oaks, CA. Here, we offer dental implant services to help you achieve the smile of your dreams. Keep reading to learn more about some of the dental implant options available at Southland Dental…
Why My Gums Bleeding when I floss
Gum bleeding is a common occurrence. Nonetheless, it is rarely an alarm concerning a severe medical condition. Thus, there is no need to panic. The gum area has soft and sensitive tissue; therefore, you may get bruises from time to time. Bleeding is a normal reaction when you, for instance, use a toothbrush with tough…
What is a smile makeover
A smile makeover is a dental cosmetic procedure that helps improve the appearance of your smile. This is often done with a series of treatments designed to whiten and straighten out teeth. Unlike traditional cosmetic dentistry, which involves covering teeth with fillings and crowns, a smile makeover can involve several procedures. What is Smile Makeover?…
How do full mouth dental implants work
Do you have one or more missing teeth, badly damaged or decayed teeth, or an unwillingness to wear dentures? If so, getting a full set of dental implants may be a solution to replace all your teeth with implants. Missing teeth can alter your facial shape by throwing your bite out of alignment. They may…
6 types of cosmetic dentistry you should know about
Caring for your teeth at any age is crucial to ensure you can maintain a beautiful smile and have a functional bite. Over time, the teeth require attention to ensure they remain healthy and potential issues can be treated early on to prevent them from escalating. There are a few types of cosmetic dentistry to…
Frequently Asked Questions About Dental Implants
Dental implants are a popular and effective way to replace missing teeth. However, they are not right for everyone. When considering dental implants, it is important to have all the facts before deciding. The following are some frequently asked questions about dental implants that can help you learn more about this treatment option. What are…
Top Rated Dental Implant Surgeon in Los Angeles
Dr. Delaram Hanookai is a Periodontist and a dental implant surgeon in Los Angeles. She may be reached at Southland Dental Care in Sherman Oaks, which services the San Fernando Valley and surrounding areas. Dr Hanookai has spent her adult life gaining the knowledge, expertise, and technology required to treat common dental diseases and specialize…
The Myth behind $1000 dental implants
Anyone with a missing tooth knows how unpleasant or humiliating it may be to smile or eat in front of others. It’s distressing and might make you feel socially alienated when your everyday living quality and self-confidence are in jeopardy. When a tooth is lost, the surrounding jawbone decreases, affecting your smile and altering your…











