
Do Veneers Ruin Your Teeth?
October 23, 2022
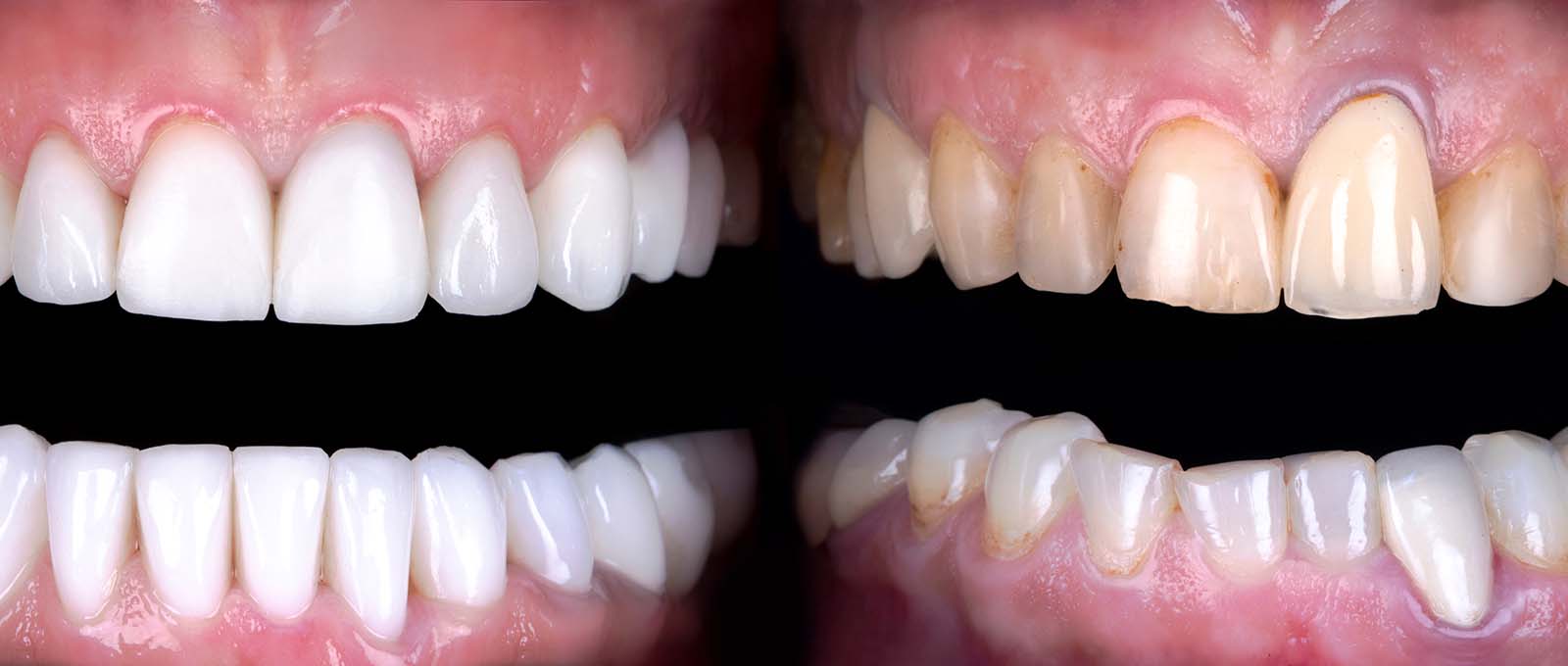
Most Hollywood celebrities have perfect smiles due to the application of porcelain veneers on their teeth. If you have ever seen some of the earlier movie and TV appearances of some stars before they became household names, you would immediately spot that something is different with their teeth. In those earlier appearances, stars sported their own natural teeth!
As they made more money, they paid for cosmetic dentistry, which frequently includes porcelain veneers. If you have been considering veneers for yourself, you probably have a lot of questions and concerns. Many of these questions and concerns come from the myth behind veneers and how they damage your teeth. We want to establish the truth about veneers, and that veneers are a good idea.
The Myth Behind Veneers
The myth behind veneers is that your natural teeth will be damaged as a result of getting veneers. The process of putting veneers on your teeth is misunderstood by many, which is why this myth has persisted. The truth is that there are more benefits of veneers than drawbacks. Once you understand how the process works, then you know that there is more benefits than cons to get veneers.
How Do Veneers Affect Your Teeth?
In order to understand how veneers affect your teeth, you need to know how veneers are applied. As long as you have a really good, properly trained cosmetic dentist like Dr. Abaian working on your veneers, your natural teeth behind the veneers will be in good hands. Your teeth will not be ruined at all.
First and foremost, your teeth and gums have to be healthy. Dr. Abaian at Southland Dental Care will not apply veneers to rotting teeth or gums with advanced periodontal disease. If you really want veneers but your teeth and gums are not in the best of health, you will need to step up your brushing and flossing game for a few months or more. Then your teeth and gums may be healthy enough for the next step.
Next, your teeth will be prepared for applying veneers. This is where many people become confused about the process and believe that teeth end up with a lot of damage. This simply is not the case. While the dentist does have to sand away some of the tooth enamel, it is such a very small amount that you can’t tell the difference. It’s never more than 1/16 of an inch of enamel.
If you have a hard time picturing 1/16 of an inch, look at 1/4 inch on a ruler, then halve that twice. Take note that 1/16 is also the most that might be removed, and most dentists take even less. The idea is to create a smoother bonding surface for the veneers, not to destroy your teeth.
The next step is to select the color of whiteness for your veneers and then create two molds of your teeth. The first mold is used to get the shape of your teeth while the second mold is taken from the first to create the veneer shells. Measurements of your mouth are sent to the lab to ensure that your veneers will fit properly and not crowd your mouth.
Finally, the veneers are applied to your teeth using a special dental adhesive and a quick bonding tool that emits a purplish-blue light. The process of adhering each veneer to a tooth is a matter of seconds.
Now that you know how veneers are applied, you know that you have to start with very good oral hygiene. To keep the veneers looking great, you have to continue good oral hygiene. The veneers only cover the fronts of your teeth, and not the whole tooth for each veneer. This is why your teeth have to be healthy and stay healthy for veneers to work.
Veneers encourage people to take care of their teeth and gums. Teeth that have veneers are actually some of the healthiest teeth because of it. The small amount of enamel removed does not affect your teeth because the veneers cover the areas where the enamel was removed.
Veneers Do NOT Correct All Damage to Your Teeth
Patients often assume that if their teeth are severely damaged, veneers will just cover up the damage. While it is true that veneers can cover chipped or cracked teeth, veneers are not a replacement for repairing damaged teeth.
Furthermore, you cannot apply veneers to damaged teeth that are so rotten that the teeth need to be pulled. Applying a veneer to a rotting tooth is akin to covering a rust-covered vehicle with a tarp and hoping the vehicle will stop rusting. It can’t and isn’t done. Beyond that, veneers are a good idea for hiding and disguising small imperfections in your teeth.
See also: Best alternative to Veneers
Weighing the Pros and Cons of Veneers
There are many pros and cons of veneers, although there are more benefits of veneers than cons. Understanding that veneers are not bad for you is the first step in learning more about this type of cosmetic dentistry. Also, many patients opt for dental whitening prior to getting veneers so that their veneers are the whitest possible shade for their individual mouths.
The addition of dental whitening increases the overall cost, but patients report that it’s worth it. Luckily for you, Dr. Abaian at Southland Dental Care is able to provide you with both cosmetic procedures for the most dramatically enhanced smile.
Pros
Veneers give you a perfectly gorgeous smile that doesn’t require pulling any of your teeth or wearing dentures. Your own teeth remain intact. Your overall dental health improves because you have to keep your natural teeth clean to prevent the loss of your veneers.
All cavities and tooth decay have to be resolved before veneers are applied.
The veneers go over restored and healthy teeth to ensure that the teeth do not continue to deteriorate under the veneers. That is the biggest reason why veneers are not bad for you.
Veneers last a very long time, and if done correctly, look completely natural.
Veneers can be applied to all of the teeth that are visible when you smile. If you have a very wide smile, some of your molars may be fitted for veneers too. This helps with maintaining a consistent look across your visible teeth so that other people don’t suspect you have had some cosmetic dentistry done.
Slight gaps in between teeth are hidden with veneers. If your current smile looks like it belongs to a third-grader instead of an adult, the veneers can “mature” that smile so it looks more like an adult’s. Slightly twisted teeth can also be disguised under veneers.
Veneers can actually make your teeth stronger and protect the remaining enamel from tooth decay. Porcelain veneers are the equivalent of about 90% of your natural enamel’s strength. As long as you continue to brush and floss, the veneers will provide that added barrier of protection for your teeth.
Cons
Veneers are semi-permanent to permanent. They are meant to be permanent, but certain circumstances can cause them to require replacements. For example, people who experience bruxism (i.e., teeth grinding while asleep) can crack the veneers and cause them to break.
If you grind your teeth at night, you aren’t a good candidate for veneers. The only way around that is to also purchase a nighttime dental guard made to fit your veneered teeth and wear it to bed consistently.
Veneers can discolor slightly over time, and they do not respond to cosmetic bleaching. You may need to change some eating and drinking habits to keep your veneered teeth looking their best. If you want really white veneers, be sure to bleach all your teeth before matching the veneer color to your bleached teeth.
If you opt for composite veneers instead of porcelain veneers, you may need to repeat this process about a decade down the road. Composite veneers don’t last as long as the porcelain ones.
You can’t use your teeth to open things anymore. A lot of people have the habit of using their teeth to open chip bags, bottles, cans, or to tear objects that resist tearing by hand. Once you have veneers, this has to stop, or you will damage the veneers. They are not made to withstand shearing, pulling, or grinding forces and can crack or chip if you continue to do these things.
Blunt force to the mouth will damage veneers too. It seems so odd that veneers could have the kind of strength they have and help reinforce natural tooth enamel but still have these issues. However, when you consider that a blow to your face by fist or hockey stick would break natural teeth, it’s not difficult to believe that the same would happen with your veneers.
Hands Down, There Is More Benefits Than Cons to Get Veneers
Now that you know the pros and cons of veneers, you can see that there are definite benefits of veneers. Obviously, there is more benefits than cons to get veneers, especially in light of any bad habits you don’t have or violent sports you don’t play. As long as you are careful and keep up a good oral hygiene routine, your veneers and your natural teeth behind them will last you a very long time.
Still Need Convincing That Veneers Are a Good Idea?
Veneers are not bad for you. They will not harm your teeth or negatively impact the way you chew or speak. Most patients report feeling more confident about the way they look, and act with more confidence every day.
Your smile is the first thing people see (unless you never smile when meeting people!). If you are afraid to smile and just feel extremely uncomfortable about smiling, you should visit Dr. Abaian at Southland Dental Care to discuss how veneers can change that for you and for the better.
Southland Dental Care is able to answer any more questions you might have about veneers. The dentists and staff are very knowledgeable about this procedure. The consultation can be done during a routine dental checkup, which you would have to do anyway before getting veneers.
See also: Best Los Angeles Veneers

