Our Blog
Benefits of Having a Cosmetic Dentist and Periodontist in One Office
Southland Dental Care in Los Angeles is a unique practice since the husband and wife team of Dr. Michael Abaian, D.D.S. and Dr. Delaram Hanookai, D.D.S., M.S. have brought their separate specialties to one practice to offer you comprehensive care. Whether your oral predicament involves a cavity, a slightly dull smile or a gaping hole,…
Why Are Porcelain Veneers So Expensive?
Many people in Los Angeles who are looking for a sparkling smile end up deciding that veneers are the best way to meet their goals of straighter, whiter teeth. However, some are surprised to learn that porcelain veneers can be a little pricey when compared to basic dental fillings. In order to understand the reason…
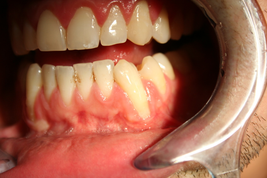
How to Prevent Gum Disease
Gum disease is one of the of the most frequent dental health problems. As a matter of fact, it is a more dominant cause of tooth loss than tooth decay, making it essential to learn more about how it happens and the prevention measures. Also called periodontal disease, it is present to some degree in…
Facts About Osteoporosis and Dental Implants
Osteoporosis and dental implants do not mix for people who want strong teeth. The risks of cracks and fractures are higher for those who have this bone disease. Fortunately, there are medications and treatments made to reduce the symptoms. All teeth are different, so people must receive thorough dental evaluations to see if they qualify…
Brushing Your Teeth Lowers Your Risk of Cancer
Everyone knows that they need to brush their teeth, floss regularly and use mouthwash, but most people think that those steps will only help improve their dental health. According to a new study, brushing regularly may also help reduce your risk of cancer. Cancer is one of the leading causes of death in America. Annual…
Teeth Whitening Procedures for Sensitive Teeth
Sensitive teeth does not have to be a negative result for teeth whitening. Sensitive teeth often react with a jolt of pain or discomfort when you eat or drink something hot or cold. Whitening can make this reaction even stronger. We offer you comfortable teeth whitening treatments that can give you the smile you want…
How Successful Are Dental Implants
A dental implant may still seem like an exotic option for many dental patients, but they are increasingly becoming a valid choice for those suffering from tooth loss. Over 90% of modern implants made by high quality sources are successful. A typical successful dental patient will enjoy ten years of implant use, with a little…
Porcelain Veneers to Fix Broken Teeth
A broken tooth may be the last thing on a person’s mind, but it could occur when least expected. It could result from fighting, falling or eating. Fortunately, a broken or chipped tooth can be fixed by any dentist. The dentist will most likely suggest a porcelain veneer to fix the appearance of the tooth….
Learn When You Need a Sinus Lift When Replacing a Tooth
A sinus lift, also called a maxillary sinus floor augmentation procedure, is a surgical procedure whose goal is to add more bone to a patient’s upper jaw area in order to better support the placement of dental implants. A periodontist or maxillofacial surgeon performs a sinus lift by lifting the sinus membrane upward to make…
Pearly Whites for Valentine’s Day
Valentine’s Day is just around the corner. You may be looking for a gift to give to your significant other or planning a candle-lit dinner date, but have you given any consideration to how your smile will look for the big day? Your smile is among the first things people notice when meeting or speaking…
How to Avoid a Root Canal to Have Healthy Teeth for a Lifetime
Proper daily dental care is an excellent way to avoid needing a root canal procedure to save an infected tooth. The necessity for a root canal is frequently caused by many years of neglect, leading to an infection in gum tissue and dental enamel. When a patient requires a root canal, the dentist must chip…
Pregnancy, Periodontal Disease, and Pre-Term Labor
Did you know that the effects of periodontal disease extend beyond the compensation of your own health and oral hygiene? It’s true, periodontal disease, or periodontitis, can in fact have detrimental effects on the health of an unborn baby, increasing the mother’s chances of going into pre-term labor and giving birth to a baby with…











